การศึกษาศักยภาพของต้นรางแดง เพื่อการอนุรักษ์และใช้ประโยชน์โดยชุมชนมีส่วนร่วม
รหัสดีโอไอ
Title การศึกษาศักยภาพของต้นรางแดง เพื่อการอนุรักษ์และใช้ประโยชน์โดยชุมชนมีส่วนร่วม
Creator ดร. จิราภรณ์ ปาลี
Contributor ดร. เรณู อยู่เจริญ, นายสวิง ขันทะสา
Publisher คณะครุศาสตร์ มหาวิทยาลัยราชภัฏเชียงราย
Publication Year 2560
Keyword รางแดง, ไวรัสเริม, แบคทีเรียก่อโรคทางเดินอาหาร, Ventilago denticulata Willd.
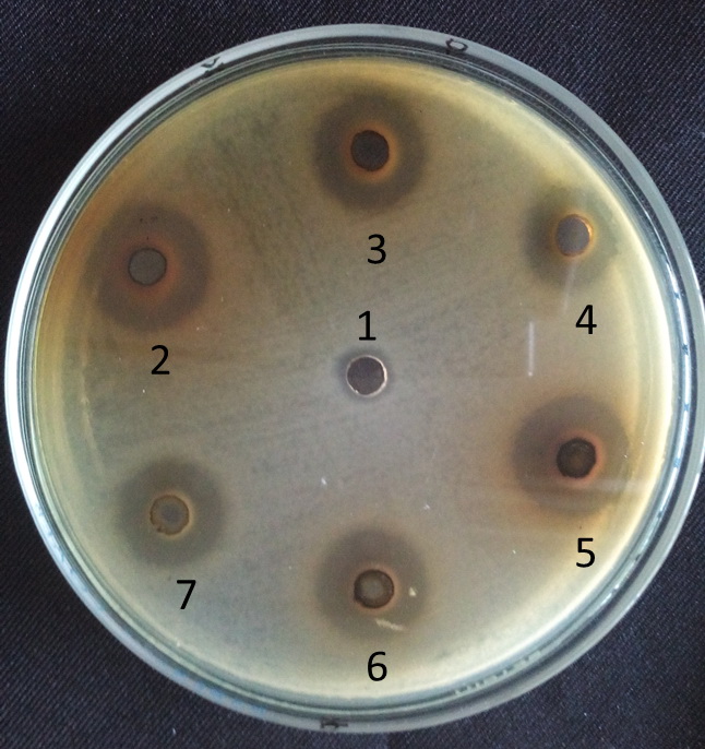
Description การวิจัยนี้มีวัตถุประสงค์เพื่อศึกษาข้อมูลพื้นฐาน การเจริญเติบโต และการออกฤทธิ์ทางชีวภาพของรางแดง โดยใช้กระบวนการวิจัยเชิงปฏิบัติการแบบมีส่วนร่วมระหว่างนักวิจัย นักศึกษา และชาวบ้านในตำบลลวงเหนือ ผลจากการวิจัยทำให้ทราบข้อมูลด้านนิเวศวิทยา ลักษณะทางพฤกษศาสตร์ วิธีการขยายพันธุ์ ปัจจัยที่มีผลต่อการเจริญเติบโต รวมถึงพบว่าสารสกัดจากรางแดงมีฤทธิ์ยับยั้งการเจริญของเชื้อแบคทีเรีย E. coli, S. typhimurium, B. cereus และเชื้อไวรัสเริม HSV-1 และ HSV-2 ได้ เพื่อการวางแผนการอนุรักษ์และใช้ประโยชน์จากต้นรางแดงอย่างยั่งยืนต่อไป
Format PICTURE
URL Website https://explore.nrct.go.th/search_detail/result/3431
Date and time 2560
Website title ห้องสมุดงานวิจัยสำหรับสาธารณะ (Extraordinary SimplPublic Library of Research Result : EXPLORE)
National Research Council of Thailand

บรรณานุกรม

EndNote

APA

Chicago

MLA

ดิจิตอลไฟล์

Digital File #1
Digital File #2
Digital File #3
Digital File #4
DOI Smart-Search
สวัสดีค่ะ ยินดีให้บริการสอบถาม และสืบค้นข้อมูลตัวระบุวัตถุดิจิทัล (ดีโอไอ) สำนักการวิจัยแห่งชาติ (วช.) ค่ะ