|
CLONING, EXPRESSION OF GENE AND CHARACTERIZATION OF RECOMBINANT MANNANASE FROM Paenibacillus curdlanolyticus B-6 |
|---|---|
| รหัสดีโอไอ | |
| Title | CLONING, EXPRESSION OF GENE AND CHARACTERIZATION OF RECOMBINANT MANNANASE FROM Paenibacillus curdlanolyticus B-6 |
| Creator | MISTER AKE-KAVITCH SIRIATCHARANON |
| Publisher | School of Bioresources, KMUTT, Bangkok, Thailand, 10150 |
| Publication Year | 2560 |
| Keyword | Endo-mannanase / Glycoside hydrolase family 26 (GH26) / beta-mannosidase/ Multi-functional activity / Paenibacillus curdlanolyticus |
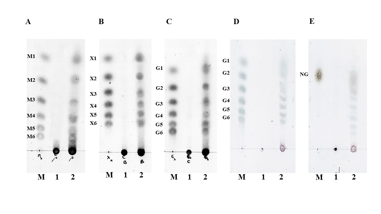
| Description | A novel -mannanase gene (PcMan26A) of Paenibacilluscurdlanolyticus B-6 was cloned and expressed in E. coli BL21 (DE3). It consisted of 1,383 base pairs that encoded a single catalytic domain with 461 amino acids and absented a signal peptide (GenBank accession no. KU052529). The recombinant PcMan26A molecular weight was 56.4 kiloDalton. It had a similarity with -endo-Mannanase from Rhodothermusmarinus DSM4252 (P49425), Cellvibriojaponicus Ueda107 (P49424), and Bacillus subtillis NM-39 (P55278) at 33, 32 and 30%, respectively, when compared with NCBI databases. The recombinant PcMan26A showed the highest activity toward mannan, xylan, cellulose, chitin, and -1,3-1,4-glucan, with 2.71, 1.38, 1.20, 1.07, and 0.71 unit per mg protein, respectively. However, it demonstrated no activity on the starch. The results indicated that the recombinant PcMan26A was poly-specificity to -1,4-linkage substances. Interestingly, the recombinant enzyme can efficiently convert -mannan to series of manno-oligosaccharide and to mannose. In addition, the mannobiose (M2) was cleaved to mannose (M1) by the recombinant PcMan26A. The results clearly indicated that PcMan26A had a bifunctional property of endo-mannanase and -mannosidase. This is the first report of the multi-functional activities from one catalytic domain in GH family 26, especially mannanolytic enzymes. |
| Format | PICTURE |
| URL Website | https://explore.nrct.go.th/search_detail/result/3427 |
| Date and time | 2560 |
| Website title | ห้องสมุดงานวิจัยสำหรับสาธารณะ (Extraordinary SimplPublic Library of Research Result : EXPLORE) |